Salud
Investigadores de la UAB desarrollan una terapia génica que cura una enfermedad rara de los huesos
Con una sola inyección se codifica una enzima que detiene el deterioro óseo y de los cartílagos en los enfermos de Morquio A

Investigadores de la UAB desarrollan una terapia génica que cura una enfermedad rara de los huesos
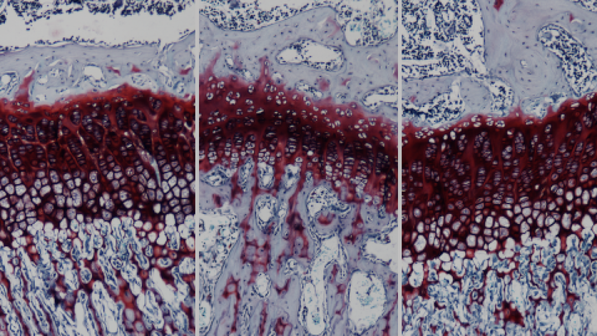
Investigadores de la UAB han generado la primera rata modelo de Morquio A que desarrolla la enfermedad presentando, a diferencia de los ratones modelo existentes, las anomalías en el esqueleto, en los cartílagos, en las válvulas del corazón y en la tráquea que presentan a los pacientes humanos. Para hacerlo, han utilizado la tecnología de edición genética con CRISPR/Cas9 para la generación de una rata con la misma mutación en el genoma que da lugar a la versión más severa de la enfermedad en pacientes humanos.
A continuación, y por primera vez, los investigadores han conseguido curar completamente los animales mediante el desarrollo de una terapia génica basada en la administración de un vector viral que codifica por la enzima GALNS. Una sola inyección intravenosa del vector viral permite la biodistribución y expresión ubicua del gen terapéutico, sobre todo a nivel de todo el sistema esquelético. Eso, permite recuperar a largo plazo la producción de la enzima en el esqueleto del animal, evitando las alteraciones en los huesos, y también en los cartílagos, la tráquea y el corazón.
«La administración de la terapia génica en ratas modelo de tan sólo cuatro semanas revierte completamente los efectos de la enfermedad, las alteraciones en el crecimiento de los huesos, las malformaciones y fragilidad de los dientes, las patologías en los cartílagos de las articulaciones, así como las complicaciones cardiorrespiratorias debidas a las afectaciones en la tráquea y en el corazón,» explica la investigadora de la UAB Fàtima Bosch, directora del estudio.
Actualmente, no existe ninguna terapia génica que se esté aplicando en pacientes de Morquio A. La nueva terapia desarrollada en la UAB resulta en la producción crónica de la enzima en todo el cuerpo y especialmente en los huesos. Por lo tanto, podría permitir tratar a los niños diagnosticados de la enfermedad cuando todavía son muy pequeños, momento en que la actividad de crecimiento de los huesos es muy grande y los efectos en el esqueleto no son irreversibles.
«La terapia génica desarrollada por nuestro equipo muestra un gran potencial para corregir los efectos de la enfermedad de Morquio A en humanos. Ahora habrá que hacer más estudios por comprobar la biodistribución y la seguridad del vector terapéutico a largo plazo en animales grandes para poder pasar a la fase clínica», concluye la doctora Bosch.