Ciencia
Demuestran la eficacia de una molécula para tratar la fibrosis pulmonar
Los investigadores han demostrado que la falta de 'cortistatina' provoca una respuesta descontrolada y nociva del sistema inmunitario

Demuestran la eficacia de una molécula para tratar la fibrosis pulmonar
Científicos han identificado una molécula que actúa sobre el sistema nervioso, la cortistatina, como potencial biomarcador para diagnosticar y tratar enfermedades asociadas a la fibrosis pulmonar. Esta capacidad podría, además, abrir una nueva vía para el tratamiento de las formas más graves de covid-19.
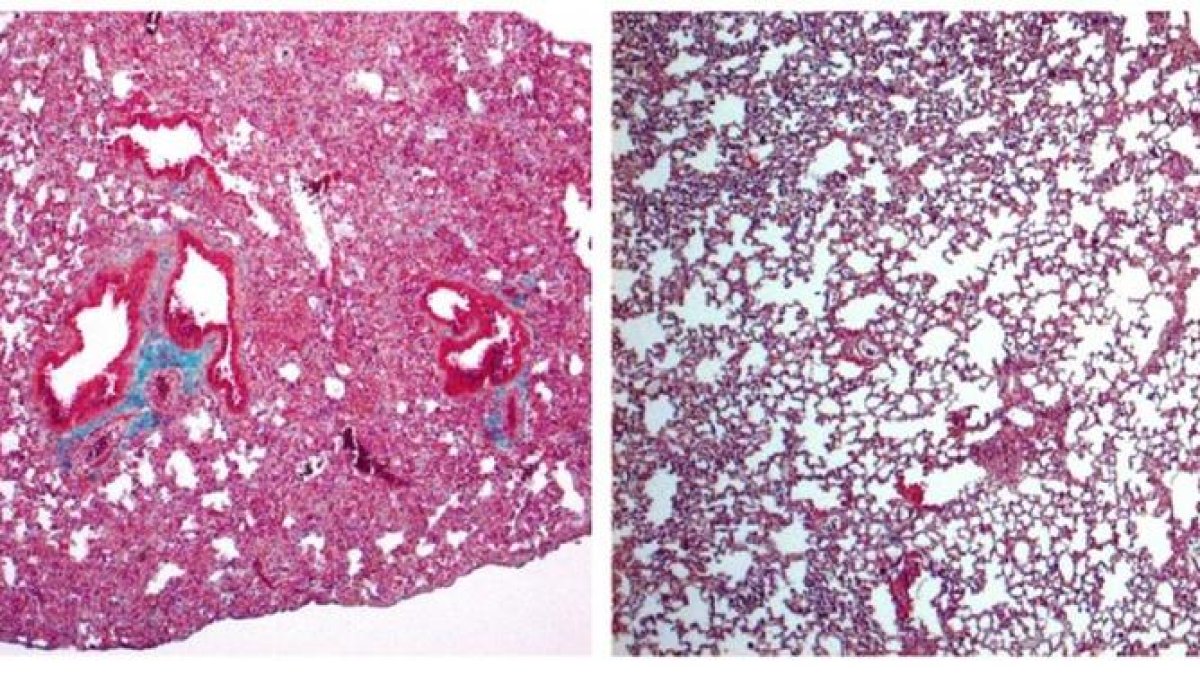
El estudio, realizado en modelos animales, se publica en British Journal of Pharmacology y, entre las enfermedades a tratar asociadas a la fibrosis pulmonar estarían el daño pulmonar agudo y su forma más severa, el síndrome de dificultad respiratoria aguda.
Los investigadores han demostrado que la falta de cortistatina provoca una respuesta descontrolada y nociva del sistema inmunitario -la tormenta de citoquinas- y el posterior desarrollo de la reacción fibrótica pulmonar.
Por contra, el tratamiento con cortistatina protege frente a las formas graves de daño pulmonar agudo y el síndrome de dificultad respiratoria aguda, señala un comunicado del Consejo Superior de Investigaciones Científicas (CSIC), que indica que esta característica la convierte en una candidata para tratar la fibrosis más grave causada por la covid-19.
La nota recuerda que existen evidencias que indican que los enfermos con covid-19 tienen peor pronóstico cuando la infección viral cursa con fibrosis pulmonar.
La cortistatina es un neuropéptido antiinflamatorio descubierto por el equipo liderado por Mario Delgado, investigador principal del estudio y director del Instituto de Parasitología y Biomedicina López Neyra (IPBLN-CSIC) en Granada.
Aunque los estudios anteriores reconocían la cortistatina como un potente agente antiinflamatorio, este es el primero que identifica su capacidad para regular y revertir directamente la respuesta fibrótica crónica.
«Puesto que la inflamación es un proceso previo y subyacente a la fibrosis crónica, es una ventaja disponer de un agente capaz de evitar ambas respuestas, inflamatoria y fibrótica, frente a otros posibles tratamientos», afirma Delgado.
«Aunque todavía no se ha demostrado la eficacia de la cortistatina en modelos de infección vírica pulmonar, el estudio demuestra inequívocamente su capacidad para limitar la tormenta de citoquinas y evitar la aparición de signos clínicos de fibrosis severa en el pulmón en modelos preclínicos plenamente establecidos, lo que permitiría aventurar una traslación a los pacientes de covid-19», añade.
El científico explica que, «aun siendo cautos con su aplicación en pacientes, tenemos un ejemplo de éxito reciente con otro neuropéptido, el péptido intestinal vasoactivo Aviptadil, descubierto como antinflamatorio en nuestro laboratorio hace más de dos décadas».
Este muestra características parecidas a la cortistatina y actualmente -afirma- es uno de los tratamientos elegidos por la agencia americana del medicamento para las formas severas de covid-19, «lo que invita a ser optimistas».