La sorprenent conseqüència de la síndrome de Down en els ossos: no són capaços de sanar fractures
La 'cola' que uneix els ossos fracturats no sembla funcionar correctament en aquesta població

La sorprenent conseqüència de la síndrome de Down en els ossos: no són capaços de sanar fractures
Una recent recerca ha aportat la primera evidència empírica directa que exposa que les persones amb síndrome deDownpodrien no ser capaces desanar les fractures òssies.
Així es desprèn d'un article elaborat per investigadors de l'Escola de Medicina Veterinària i Ciències Biomèdiques A&M de Texas (els Estats Units) i publicat en el mitjà especialitzatBone,que no sols aporta llum a un problema prèviament desconegut sinó que a més posa de manifest la necessitat d'abordar de manera especialitzadaaquest tipus de lesions en una població especialment vulnerable.
Ja s'havia observat, de fet, que les persones amb síndrome deDowntenienuna menor densitat òssia de la comuna, la qual cosa ja de per si mateix incrementa les probabilitats de sofrir fractures òssies. Fins i tot, els científics ja imaginaven que la resposta a les fractures seria diferent en aquesta població.
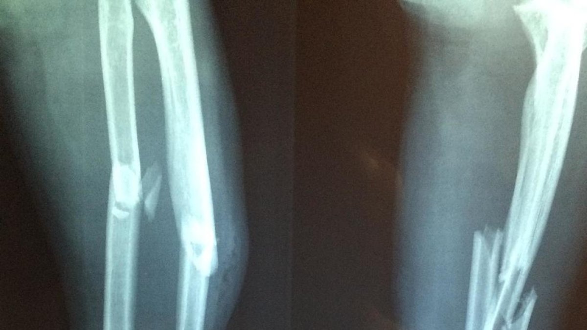
Precisament amb l'objectiu d'indagar en aquesta diferència, els autors del treball van provocar fractures en la falange de models animals (ratolins) amb síndrome deDowni van observar el procés de curació. I el que van trobar va ser que,sorprenentment, no sanaven.
Tal com expliquen, en un cas normal, després d'una fractura es forma en el lloc de la lesió un teixit tou fet de cartílag que actua com un tipus de cola, connectant els dos trossos de l'os entre si. En canvi, en els models estudiats, aquest teixit arribava a formar-se però no aconnectar els dos extremsde l'os fracturat.
La necessitat d'adoptar mesures especials
Els investigadors adverteixen que una fractura que no es cura correctament pot tenir conseqüències devastadores, arribant fins i tot a ser mortal; i, no obstant això, aquest problema havia passat desapercebut fins ara en les persones amb síndrome deDown. Així, opinen que això ha estat possible per dues raons: la primera d'elles és que les persones amb síndrome deDownhan vist augmentar dràsticament la seva esperança de vida en els últims anys; i la segona és que a l'hora d'elaborarestadístiques sobre fractures òssiesno s'ha distingit entre els pacients amb i sense síndrome deDown.
Ara, assenyalen, queda dur a terme recerques similars emprant dades humanes reals que identifiquin les raons precises per les quals no es produeix la curació de les fractures; i, mentrestant, l'adopció de mesures per aincrementar la resistència de l'os d'aquestes persones, un monitoratge més exhaustiu quan succeeixin les fractures i en general una major conscienciació en el si de la comunitat mèdica sobre la salut òssia de les persones amb síndrome deDown.